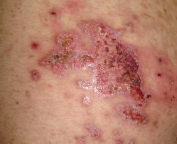
怎么检查确诊牛皮癣?牛皮癣是常见的一种皮肤疾病,据统计全球约有1.25亿牛皮癣患者。但是一项最新的调查表明,目前有很多患者被误诊为牛皮癣,还有的临床医生对牛皮癣的类型做出了错误的诊断,直接影响到牛皮癣患者健康和生活质量。那么,确诊牛皮癣要做哪些检查呢?下面我们请西安牛皮癣医院专家介绍下。

怎么检查确诊牛皮癣
1。 皮肤活细胞检查
原理:查看皮肤活细胞属皮突整齐延长和下部增厚,真皮乳头延长及水肿,颗粒层消失,角化不全,MUNRO微脓肿状态。推荐阅读:牛皮癣患病早期到底是什么样子
作用:皮癣患者进行皮肤活体细胞检查可以得出患者的皮损类型适合使用什么样的外用药物进行治疗。3。 血常规检查
2。 组织病理学检查
原理:牛皮癣皮损组织的表皮角质层有角化过度和角化不全、角质生成细胞增生、真皮乳头上延、毛细血管增生、周围有少量淋巴细胞浸润等特征性改变。
作用:皮损的组织病理学检查有助于确诊,特别是对一些临床表现不典型的患者进行皮损的组织病理学检查更有助于确诊,诊断的正确率为80%~85%。
怎么检查确诊牛皮癣?以上便是西安银屑病治疗医院专家对“西安牛皮癣医院怎么检查确诊牛皮癣”的介绍,如果你对以上内容有何疑问,可以在线咨询专家,与我院专家进行交流,他们将耐心的解答您心中的疑惑!
手机版网址:怎么检查确诊牛皮癣