银屑病不同时期的症状有什么?银屑病是一种平常生活中较为常见的皮肤病,又叫牛皮癣,是一种顽固难治的慢性疾病,它的出现给患者的正常生活和工作带来诸多的困扰和伤害,因此我们一定要对银屑病有更多的了解和认识。临床上按照病程可以将牛皮癣分为进行期、静止期、退行期,不同的时期的症状也是不同。那么银屑病不同时期的症状有什么呢?我们来听听郑州牛皮癣医院介绍。

银屑病不同时期的症状有什么
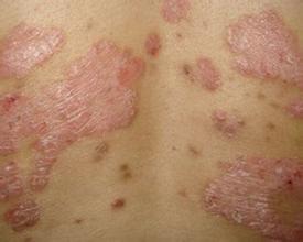
1、进行期:银屑病的进行期主要是皮损,是急性发生阶段,症状是有不断的皮损出现,而且原来的皮损会不断的扩大,出现一块块的斑块,呈现鲜红色,周围清晰可见,上面会出现一层灰白色的鳞屑。在银屑病的进行期,患者的皮肤会比较敏感,外界的刺激会很容易导致同形反应的发生。因此患者一定要避免皮肤受到损害。
2、静止期:银屑病的静止期,一般持续时间比较长,皮损也基本停止,炎症特征不是很明显,但是如果没有及时的去治疗的话,鳞屑会大量的脱落,造成皮肤的营养成分流失,这个时期银屑病的病情比较稳定,一般不会发生同行现象,会逐步过渡到退行期。
3、消退期:到了银屑病退行期,红斑或点疹会不断消退,鳞屑变薄、破碎以至消失,较终恢复到正常肤色。多数患者的皮损先从周边消退,逐渐缩小,较后成为淡白色色素减色斑或深褐色色素沉着斑,也有的从皮损中央消退,呈环状或半环状皮损消退。
银屑病不同时期的症状有什么温馨提示:以上就是我们郑州市银屑病研究所的专家为大家详细介绍的一些银屑病的不同时期的症状,希望通过上面的介绍,患者可以对银屑病症状有更多的了解和认识,在知道了银屑病的不同时期的症状后,也可以很好的去预防和治疗,但是提醒患者,一定要及时的到正规的皮肤病医院进行专业的检查和治疗,切勿盲目的选择用药和治疗。
手机版网址:银屑病不同时期的症状有什么